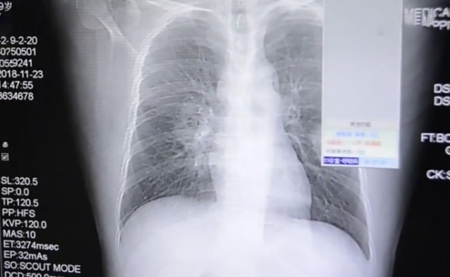
【로스앤젤레스=뉴시스】 퇴근 후 집에 돌아와 하루 종일 신고 있던 양말의 냄새를 맡는 습관을 갖고 있던 중국 남성이 곰팡이균으로 인한 폐질환에 걸렸다고 영국의 데일리 메일이 19일(현지시간) 중국 푸젠(福建) 지역언론을 인용해 보도했다. 이유를 모른 채 가슴통증으로 병원을 찾았던 37세 중국 남성의 가슴 엑스레이 사진 <사진출처=Pear Video> 2018.12.19
【로스앤젤레스=뉴시스】 퇴근 후 집에 돌아와 하루 종일 신고 있던 양말의 냄새를 맡는 습관을 갖고 있던 중국 남성이 곰팡이균으로 인한 폐질환에 걸렸다고 영국의 데일리 메일이 19일(현지시간) 중국 푸젠(福建) 지역언론을 인용해 보도했다. 이유를 모른 채 가슴통증으로 병원을 찾았던 37세 중국 남성의 가슴 엑스레이 사진 <사진출처=Pear Video> 2018.12.19
퇴근후 양말냄새 확인 습관 中 남성 ‘가슴통증’
장저우 병원 검진 결과 곰팡이균 감염 폐질환


“양말 냄새 맡지 마세요!”

퇴근 후 집에 돌아와 하루 종일 신고 있던 양말의 냄새를 맡는 습관을 갖고 있던 중국 남성이 곰팡이균으로 인한 폐질환에 걸렸다고 영국 데일리 메일이 19일(현지시간) 중국 지역언론을 인용해 보도했다. 이 뉴스는 중국 소셜미디어 웨이보를 통해서도 널리 퍼졌다.


중국 장저우에 사는 37살 남성은 언젠가부터 퇴근 후 집에 돌아와 양말을 벗으며 냄새를 맡는 습관이 생겼다.
‘펑’이라는 성(姓)만 알려진 이 남성은 어느 날 가슴이 조이는 듯한 통증과 기침이 심해져 병원을 찾았다.

이 남성 환자를 진료한 장저우의 909병원 의사들은 폐렴으로 판단해 치료를 하고, 약을 처방했다.

시간이 지나도 낫지 않자 이 남성은 다시 병원을 찾았다. 의사는 재차 검진하면서 이 남성 이 양말 냄새를 맡는 습관이 있다는 것을 알아냈다. 처방약을 먹으면서도 매일같이 양말 냄새를 맡았기에 낫지 않았던 것이다.

의료진은 다시 검사한 결과 환자의 폐가 심각한 곰팡이균에 감염돼 있음을 발견했다. 환자를 진료했던 장저우 909병원의 마이 주아닝 의사는 지역언론 복건일보(福建日報)와의 인터뷰에서 “환자가 평소 휴식 부족으로 면역력이 약화돼 곰팡이균에 쉽게 감염됐을 것으로 판단된다”고 말했다.

사이언스 얼러트(Science Alert)는 이 환자가 더러운 양말에서 발견되는 곰팡이 포자를 흡입해 감염됐을 가능성이 크다고 보도했다.

곰팡이균 감염 폐질환은 통상 호흡기관에 영향을 미치지만 그 증상과 심각성은 매우 다르게 나타날 수 있다고 미국 비영리의료기관 메이요 클리닉이 설명했다.

<뉴시스>

기사 추천

  • 추천해요 0
  • 좋아요 0
  • 감동이에요 0
  • 화나요 0
  • 슬퍼요 0